产品中心
GeminiSEM 系列产品
高对比度、低电压成像的场发射扫描电子显微镜
- 产品详细
-
为对任意样品进行高水准的成像和分析而生
蔡司GeminiSEM 系列产品具有出色的探测效率,能够轻松地实现亚纳米分辨成像。无论是在高真空还是在可变压力模式下,更高的表面细节信息灵敏度让您在对任意样品进行成像和分析时都具备更佳的灵活性,为您在材料科学研究、生命科学研究、工业实验室或是显微成像平台中获取各种类型样品在微观世界中清晰、真实的图像,提供灵活、可靠的场发射扫描电子显微镜技术和方案。
运用GeminiSEM系列产品,您可轻松获取真实世界中任意样品出色的图像和可靠的分析结果
GeminiSEM 500 具有出色的分辨率,在较低的加速电压下仍可呈现给您更强的信号和更丰富的细节信息,其创新设计的NanoVP可变压力模式,甚至让您在使用时拥有在高真空模式下工作的感觉;
GeminiSEM 450 具有出色的易用性设计、更快的响应和更高的表面灵敏度,使其能快速、灵活、可靠地对样品进行表面成像和分析,充当您的得力助手;
GeminiSEM 300 具有出色的分辨率、更高的衬度和更大且无畸变的成像视野,可方便地选取适合样品的真空度等环境参数,使FESEM初学者也能快速掌握;
产品
轻松地对任意样品进行亚纳米分辨成像的场发射扫描电子显微镜,更灵敏、更灵活、更简单、更智能。

更强的信号,更丰富的细节
GeminiSEM 500 为您呈现任意样品表面更强的信号和更丰富的细节信息,尤其在低的加速电压下,在避免样品损伤的同时快速地获取更高清晰度的图像。
经优化和增强的Inlens探测器可gao效地采集信号,助您快速地获取清晰的图像,并使样品损伤降至更低;
在低电压下拥有更高的信噪比和更高的衬度,二次电子图像分辨率1 kV达0.9nm,500 V达1.0 nm,无需样品台减速即可进行高质量的低电压成像,为您呈现任意样品在纳米尺度上更丰富的细节信息;
应用样品台减速技术-(Tandemdecel),可在1 kV下获得高达0.8nm二次电子图像分辨率;
创新设计的可变压力模式-NanoVP技术,让您拥有身处在高真空模式下工作的感觉。

更高的速度与灵敏度,更好的成像和分析
GeminiSEM 450更快的响应和更高的表面灵敏度使其能快速、灵活、可靠地对样品进行表面成像和分析,简便、快速地进行EDS能谱和EBSD等分析,同时保持出色的空间分辨率,充当您的得力助手。
在EDS能谱和EBSD分析模式下仍保持高分辨率的成像,在低电压条件下工作时更为优异;
可快速地对样品进行大范围及高质量成像;
经优化的电子光学镜筒,减少了工作过程中进行重新校准的复杂流程,节省成像时间,提高工作效率;
无论是不导电样品、磁性样品或是其他类型的样品,无论是高真空或是可变压力模式,均可实现快速和高质量的成像和分析;
更灵活的成像方式
无论是资深用户还是初学者,GeminiSEM 300将让您体验到在更高的分辨率和更佳的衬度下进行极大视野范围成像的乐趣,并且在高真空或是可变压力模式下都可以实现。
得益于gao效的信号采集系统和优异的分辨率性能,可实现快速、高质量、无畸变的大范围成像;
创新设计的高分辨率电子枪模式,为对磁性样品、不导电样品以及电子束敏感样品的低电压成像量身订制解决方案;
蔡司独树一帜的镜筒内能量选择背散射探测器,在低电压下也可轻松地获得高质量的样品材料衬度图像;
NanoVP技术让您可以使用镜筒内Inlens二次电子探测器对要求苛刻的不导电样品进行高灵敏度、高分辨成像。
产品优势:
洞察产品背后的科技
Gemini电子光学系统

Gemini 1 –成熟的Gemini技术概览
场发射扫描电子显微镜具有更高的分辨率,离不开其性能优异的电子光学镜筒。蔡司Gemini技术专为对任意样品进行高分辨成像设计,尤其在低电压下保持完整和gao效的探测系统、出色的分辨率和易用性等特点。
蔡司Gemini电子光学镜筒具有以下三个主要特点
蔡司Gemini物镜的设计结合了静电场和磁场,在提高其电子光学性能的同时将它们对样品的影响降至更低。无漏磁物镜设计,可以对如磁性材料等具有挑战的样品同样地进行高品质成像;
蔡司Gemini电子束推进器技术,让电子束经过加速后以高电压通过镜筒,zui终再减速至设定电压后进入样品仓,很大程度地减小电子束的像差,保证了在非常低的加速电压下仍可获得小束斑和高信噪比;
蔡司Gemini 镜筒的设计理念将Inlens二次电子(SE)和背散射电子(BSE)探测器均放置在镜筒内正光轴上,使两者均具有更高的信号采集效率且可以同时成像,有效的缩短了获取图像的时间,更好地提高工作效率。
蔡司Gemini技术优势能为您提供以下便利:
经校准后的镜筒具有长期的稳定性,您在日常使用时只需要简易地设定基本的参数,如加速电压、探针电流等;
无漏磁的物镜设计,可对包括磁性样品在内的各类型样品进行无畸变、高分辨率的成像;
Inlens二次电子探测器具有gao效的SE1信号采集效率,给您呈现来自样品极表面的真实形貌图像;
镜筒内能量过滤背散射探测器以其创新的设计理念,使您在低电压下可获得高分辨率、高衬度、以及更真实的样品材料衬度图像。

Gemini 1类型镜筒 -延续创新和发展
如今,扫描电子显微镜(SEM)在低电压下的高分辨成像能力,已成为其在各项应用领域中的标准配置。
低电压下的高分辨率成像能力,在以下应用领域中扮演着尤为重要的角色:
电子束敏感样品
不导电样品
获取样品极表面的真实形貌信息
Gemini的革新电子光学设计,应用高分辨率电子枪模式、Nano-twin lens物镜(GeminiSEM 500)、以及Tandem decel样品台减速技术(选配),有效提高了在低电压时的信号采集效率和图像衬度。
高分辨率电子枪模式:
缩小30%的出射电子束能量展宽,有效地降低像差;
获得更小的束斑。
Nano-twin lens物镜:
优化静电场和磁场的复合功效,在低电压下具有的更高的分辨率;
提高镜筒内Inlens探测器在低电压下的信号采集效率。
Tandem decel样品台减速技术,进一步提高对适用样品在低电压甚至极低电压下的分辨率:
Tandem decel减速技术将镜筒内减速和样品台偏压减速技术相结合,有效地实现低着陆电压;
使用1 kV及以下更低电压时,镜筒内背散射探测器的检测效率获得更好地增强,低电压下的分辨率得到进一步提高。
对适用的样品可以加载高达-5 kV的样品台偏压,在低电压下获得更高质量的图片。

Gemini 2类型镜筒-出色的综合性能,为您所欲为
要实现对任意样品都能进行高质量的测试和表征,扫描电子显微镜必须在成像和分析方面都具备优异的性能,同时能给用户简单易用的操作体验。如今,Gemini 2镜筒可满足您在这些方面的各种需求:
GeminiSEM 450 配置双聚光镜的Gemini 2类型电子光学镜筒;
在确保获得出色的小电子束斑的同时,束流连续可调;
可在低束流的高分辨率成像与高束流的分析模式之间进行无缝切换;
调整工作参数后无需对电子束进行重新校准,为您节约时间,提高仪器效率;
操作灵活易用,高电子束能量密度下的高分辨率成像,低束流分析,高束流分析等各类不同的工作模式,一切由您而定;
物镜无漏磁设计,在大视野范围成像和EBSD分析中不会引起畸变,确保获得样品高质量的图像;
出色、稳定的电子光学镜筒,对各种类型的样品都能简单快速的进行高分辨率成像,即使在使用中样品需要倾斜,甚至是对磁性样品进行成像;
P搭载局部电荷中和器或NanoVP可变压力模式,有效地消除样品的表面荷电,让您在出色参数下对样品进行成像和分析。

NanoVP可变压力模式-更丰富的细节,更灵活的适用性
NanoVP可变压力模式技术,为您提供对不导电样品成像优秀的解决方案,更大程度地发挥镜筒内Inlens探测器高性能和高分辨率的优异性能:
消除不导电样品的表面荷电现象;
NanoVP可变压力技术有效地减小电子束展宽,确保在可变压力模式中发挥镜筒内Inlens探测器的优异性能,获得高分辨率的图像,可变压力范围可高达150 Pa;
因此,即使是在可变压力模式下,镜筒内Inlens二次电子探测器和EsB背散射探测器仍可同时成像,助您获得样品极表面的高分辨形貌图像和更高衬度的背散射图像;
样品室内同时搭载VPSE探测器,可对要求更为苛刻的样品在高达500 Pa的压力下进行高质量成像。
附件:
蔡司Atlas 5-挑战多尺度分析

Atlas 5可以简化您的工作:以样本为中心的关联环境下为您创建多尺度、多模式的综合图片。Atlas 5集强大的硬件和易于操作的软件为一体,大大拓展了蔡司扫描电镜(SEM)的应用范围。
3D表面建模 – 3DSM

扫描电镜只能测量分析样品的2D信息。然而,使用3DSM可将扫描电镜的分析能力扩展至对3D数据的分析。由蔡司设计研发的3DSM是以计算机为基础的应用软件,它基于扫描电镜的AsB探测所的信号对样品表面的三维结构进行重构。
可视化及分析软件

蔡司推荐您使用Object Research Systems (ORS) 的 Dragonfly Pro
此解决方案可为X射线,FIB-SEM,SEM以及氦离子显微镜获取的三维数据进行可视化三维重构和分析。
基于Visual SI Advanced系列, Dragonfly Pro 能提供高清解析度可视化技术和优异的图形处理技术。DragonflyPro支持通过简单易用的Python脚本进行定制。用户可以完全掌控3D数据后期处理环境和流程
使GeminiSEM 300 / 450 能更好地消除样品荷电现象,简单快速地实现生物组织样品的高质量三维成像

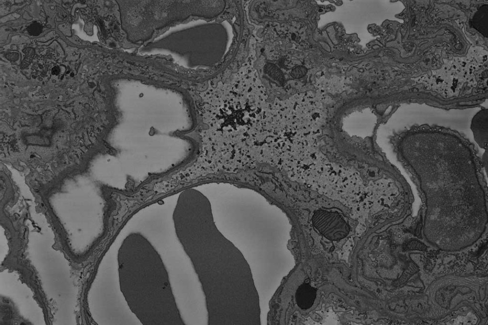
GeminiSEM 300 / 450可无缝结合Gatan公司的3View®技术,变身成为快速且高质量获取包埋细胞或组织样品的高分辨率三维数据的一套系统。3View®是扫描电子显微镜样品室内的一台超微切片机,与蔡司GeminiSEM系列产品成像快速、样品灵活、视野大且无畸变的技术特点结合,该系统能在一天内对样品进行数千个连续切片和自动高质量成像,有效的节省了时间。因为样品保持固定不动,所获取的图像具有更高的重合度,使得重构得出的三维数据更为高效和真实还原样品的三维结构。
现在,搭载蔡司局部电荷中和器技术的GeminiSEM可以更好地消除以往富有挑战的不导电样品的表面荷电,进一步提高生物组织切片样品,如肝脏、肾脏、肺部等组织切片图像的质量,以更好地帮助科学家们进行病理学等相关领域的生命科学研究。蔡司公司已经把这套目前更快更简便而且具有更高质量的三维成像系统提供给了德国国家显微成像中心,并将与之开展长期合作和取得共赢。

服务热线:400-180-8287